
প্রিয় টেকটিউনস বন্ধুরা, সবাইকে আমার পক্ষ থেকে আন্তরিকভাবে মোবারক বাদ জানাই। আশাকরি আপনারা সবাই অনেক ভালো আছন। আপনাদের দোয়া এবং ভালবাসা নিয়ে আজকে আমি নতুন একটি টিউন নিয়ে আপনাদের সামনে হাজির হলাম। আশা করছি বিষয়টি আপনাদের উপকারে আসবে। তো চলুন ভূমিকায় আর না থেকে আসল ঘটনায় যাওয়া যাক।
আমি আজকে আপনাদের সামনে যে বিষয়টি নিয়ে আলোচনা করবো তা হলো ’আধুনিক চিকিৎসা ক্ষেত্রে বিজ্ঞানের ভূমিকা-১’। এই শিরোনামে কিছু তথ্য তুলে ধরার চেষ্টা করবো আপনাদের মাঝে। আশাকরি টিউনটি শেষ পর্যন্ত দেখবেন প্লিজ। উপরোক্ত বিষয়ের উপর ধারাবাহিক আলোচনা করেছি ইনশাল্লাহ।
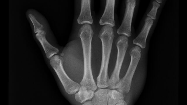
১। এক্স-রেঃ আধুনিক চিকিৎসা বিজ্ঞানের কথা বলতে গেলে এক্সরের কথা আপনা-আপনি চলে আসে যা না বললেই নয়। চিকিৎসা বিজ্ঞানের ভূমিকার কথা বলতে গেলে এক্সরে একটি অসামান্য অবদান। এই এক্সরে মেশিন আবিষ্কার করেন বিজ্ঞানী উইলহেম কনার্ড রন্টজেন ১৮৯৫ সালে। রন্জনরশ্নির আরেক নাম এক্সরে। প্লেন এক্সরে থেকে শুরু করে কন্ট্রাস্ট এক্সরে, সিটি স্ক্যান(PLAIN CT, CONTRAST CT, SPIRAL CT. 3-D CT RECONSTRUCTION, ULTRAFAST CT) পিইটি সিটি সহ আরো অনেক ক্ষেত্রে এক্সরের ব্যবহার দিনদিন বেড়েই চলেছে।

আমাদের দৈনন্দিন জীবনে এক্সরে মেশিনের বিকল্প নেই। আমাদের শরীরের যেকোন জায়গা ভেঙ্গে গেলে বা যেকোন ধরনের সমস্যা দেখা দিলে তা আমরা বাইরে থেকে দেখতে চাইলে আমাদেরকে এক্সরে মেশিনের মাধ্যমে এক্সরে করতে হবে।

অতএব, আমরা বুঝতে পেরেছি নিশ্চয় আধুনিক চিকিৎসা ক্ষেত্রে বিজ্ঞানের ভূমিকায় এক্সরে একটি অকল্পনীয় আবিষ্কার।
২। এম আর আইঃ এম আর আই হচ্ছে ম্যাগনেটিক রেসোন্যান্স ইমেজিং। এটি একটি আধুনিক রোগ নিরাময় একটি মেশিন। এই যন্ত্রটি একটি আধুনিক চিকিৎসা বিজ্ঞানের অতুলনীয় আবিষ্কার। 
এম আর আই আবিষ্কার করেন আমেরিকান চিকিৎসক রেমন্ড দামাদিয়ান নামে একজন বিজ্ঞানী। বিংশ শতাব্দীর চিকিৎসা বিজ্ঞানে এই যন্ত্রটি দারুন আলোড়ন সৃষ্টি করেন। এম আর আই এর দ্বারা শরীরের অভ্যন্তরের অংশের ছবি নিখুতভাবে তোলা যায়। ছবি দেখে দেহের বিভিন্ন অংশের টিউমার, ক্ষতিকর টিস্যু, ভাঙ্গা হাড় ইত্যাদি শনাক্ত করতে অনেক সুবিধা হয়। 
এই মেশিনে যে চুম্বক ব্যবহার করা হয় তার শক্তি সাধারণত ৫০০০ থেকে ২০০০০ এম এম হয় বলে আমরা জানি। ১৯৯৭ সালের ৩ জুলাই প্রথমে এই মেশিন ব্যবহার করেন স্যার পিটার ম্যান্সফিল্ড। এটি বিজ্ঞানের একটি অসাধারণ একটি আবিষ্কার। যা আজকের এ আধুনিক বিশ্বের জন্য অনেক প্রয়োজন হয়ে দাড়িয়েছে আমাদের আজকের এ বিশ্বে।
তো টেকটিউনস বন্ধুরা আজকের মতো এখানেই শেষ করলাম। আগামী সেশনে আবার দেখা হবে সে পর্যন্ত সবাই ভালো থাকবেন। আল্লাহ হাফেজ।
আমি Abdur Rashid। বিশ্বের সর্ববৃহৎ বিজ্ঞান ও প্রযুক্তির সৌশল নেটওয়ার্ক - টেকটিউনস এ আমি 4 বছর 11 মাস যাবৎ যুক্ত আছি। টেকটিউনস আমি এ পর্যন্ত 6 টি টিউন ও 1 টি টিউমেন্ট করেছি। টেকটিউনসে আমার 0 ফলোয়ার আছে এবং আমি টেকটিউনসে 2 টিউনারকে ফলো করি।